114 W. Mt. Pleasant Avenue
Livingston, NJ 07039
A smiling woman with her hands on her cheeks, showcasing a product or service related to dental care or beauty.

Smile Gallery

The image shows a person's smile with yellowed teeth, which suggests dental issues such as staining or discoloration.

Before

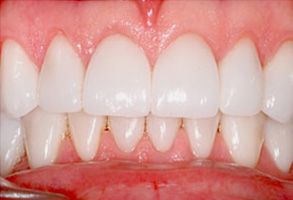
The image shows a close-up view of a person's smiling mouth with straight white teeth, revealing a clean and healthy oral hygiene.

After

The image shows a close-up view of a person's teeth with visible yellowing and staining, which suggests poor oral hygiene or discoloration.

Before

The image shows a close-up view of teeth with yellowing and staining, which suggests possible dental issues such as plaque buildup or discoloration.

After

The image shows a close-up of a person's face with a broad smile revealing white teeth, focusing on the mouth and teeth area.

Before

The image shows a close-up of a man's smiling face with his teeth prominently visible, set against a neutral background.

After

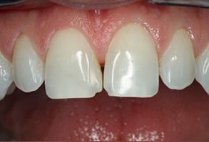
The image shows a close-up view of a person's teeth with a focus on a dental implant, highlighting its structure and color contrasted against natural teeth.

Before

The image shows a close-up view of a person's teeth with a focus on a white dental implant and adjacent natural tooth, set against a pink gum background.

After

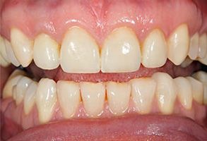
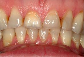
The image shows a close-up view of a person's mouth with teeth that appear to be discolored or stained, possibly due to dental issues such as plaque buildup or tooth decay.

Before

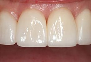
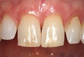
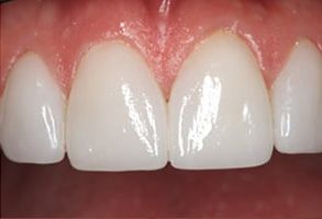
The image shows a close-up view of a person's teeth with a focus on the upper front teeth, which appear to be straight and white with a healthy gum line.

After

The image displays a close-up view of a person's teeth with a focus on a dental procedure, possibly a cleaning or restoration process, where a tooth has been prepared for treatment.

Before

The image shows a close-up view of a set of teeth with a focus on the upper front teeth, which appear to be straight and white with some natural variation in color.

After

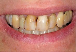
The image displays a person's mouth with crooked teeth and a yellowish tint, likely due to discoloration or staining.

Before

The image displays a close-up view of a person's teeth with visible staining, showcasing the upper and lower front teeth prominently.

After

Schedule a visit today!
Contact Us
Submit

Thank You!

We appreciate you taking the time to visit our site. We'll review your message and be in touch with you soon.

Continue
The image depicts a dental professional performing an examination on a patient's teeth, with the dentist holding a tray containing dental instruments and the patient seated in a chair.